Схема лечения рака молочной железы долгое время была стандартной: полное удаление органа и послеоперационная лекарственная терапия. Но в начале XXI века стал распространяться другой подход.
Что такое неоадъювантная терапия и зачем ее назначают при раке молочной железы
1
Содержание статьи
Введение Что такое неоадъювантная терапия? Зачем нужна неоадъювантная терапия? Преимущества и недостатки неоадъювантной терапии От чего зависит решение о проведении неоадъювантной терапии? Сколько длится неоадъювантная терапия? Как оценивают эффективность неоадъювантной терапии? Что предстоит после завершения неоадъювантной терапии? Сколько стоит неоадъювантная терапия
Введение
Довольно долго единственным способом хирургического лечения рака молочной железы (РМЖ) на ранних стадиях была мастэктомия — полное удаление органа1. Хирурги-онкологи старались удалить новообразование «с запасом» здоровых тканей, в которых теоретически могли оставаться отдельные раковые клетки. Ситуация изменилась с появлением противоопухолевых лекарственных препаратов1. Новые методы позволили хирургам уменьшить объем вмешательства, сохраняя здоровую молочную железу. Такие операции лучше переносятся и сохраняют естественный вид груди2.
Кроме хирургических, для лечения РМЖ сейчас используют и другие методы:
Больше о химиотерапии, больше о таргетной терапии.
Любой из этих методов может быть назначен до или после операции.
Что такое неоадъювантная терапия?
Неоадъювантным называется лечение, которое врачи назначают до операции3. Для этого могут применяться химиотерапевтические, гормональные или таргетные препараты4. Хирургическое вмешательство проводится через несколько недель после последнего введения.
Зачем нужна неоадъювантная терапия?
Чтобы уменьшить размер новообразования
Это позволяет хирургу удалить меньший объем тканей, сохранив молочную железу5. Органосохраняющие операции легче переносятся, а восстановление после них происходит быстрее. Напротив, мастэктомия может вызывать стойкие отеки6, нарушение подвижности в плечевом суставе, длительные нейропатические боли7.
Чтобы уменьшить распространенность опухоли
Препараты уничтожают раковые клетки, попавшие в лимфатические узлы. Таким образом уменьшается количество лимфатических узлов, подлежащих удалению.
Чтобы получить время для дополнительных обследований.
Например, для генетического тестирования, результаты которого могут повлиять на подходы к терапии РМЖ.
Для оценки эффективности лекарств.
Если опухоль не будет реагировать на них, онколог назначит препараты с другим механизмом действия на послеоперационном этапе.
Преимущества и недостатки неоадъювантной терапии
Преимущества начала лечения с операции:
Понимание биологии опухоли
Строение раковых клеток, наличие рецепторов к гормонам и факторам роста на их поверхности, наследственные нарушения определяют чувствительность опухоли к лекарствам. Для исследования биологических особенностей раковых клеток врач-патолог изучает образец новообразования. Если путь пациента начинается с операции, у врачей есть достаточное количество материала для проведения подробного исследования и подбора лечения.
Точное стадирование заболевания
Хирургическое вмешательство позволяет точно оценить размер новообразования, поражение лимфатических узлов, что важно для определения стадии заболевания.
Снижение тревожности
Для некоторых пациентов удаление новообразования может давать чувство избавления от болезни, уменьшать тревогу и стресс.
Уменьшение потребности в лучевой терапии
В некоторых случаях, когда опухоль полностью удалена и не имеет негативных прогностических признаков, может быть принято решение об отказе от последующей лучевой терапии.
Преимущества старта с лекарственной терапии:
Уменьшение размера новообразования
Лекарственная терапия, проведенная до операции, помогает уменьшить объем последующего вмешательства и сохранить здоровую молочную железу.
Понимание эффективности препаратов
Такой подход позволяет оценить эффективность лекарственных препаратов, и при необходимости заменить их после хирургического вмешательства. Это очень важно при тройном негативном и HER2-положительном РМЖ. Эти виды рака являются наиболее неблагоприятными по вероятности рецидива (возвращения болезни) после первоначального лечения. Лекарственная терапия, которая проводится после операции, хоть и обладает доказанным эффектом в отношении уменьшения риска рецидива, но, по сути, проводится «вслепую». Напротив, когда лечение назначают до операции, есть возможность более точно оценить его эффективность с помощью специальных методов обследования (например, изменение размеров опухоли при контрольном рентгенологическом исследовании — маммографии или УЗИ) и наиболее точно — при проведении патоморфологического исследования удаленных во время операции тканей. В том случае если лечение недостаточно хорошо подействовало на опухоль, врачи имеют возможность поменять терапию после операции, что может позволить значимо уменьшить вероятность возвращения болезни в будущем8.
Перевод неоперабельного рака в операбельный
В тех ситуациях, когда РМЖ изначально считается неоперабельным (это абсолютное большинство случаев заболевания на III стадии), без неоадъювантной терапии обойтись нельзя. Лекарственные средства назначаются с целью уменьшить опухоль до такой степени, что ее можно удалить хирургически.
От чего зависит решение о проведении неоадъювантной терапии?
Стадия и размер опухоли:
Неоадъювантная терапия проводится при некоторых подтипах РМЖ, начиная со второй стадии, т. е. тогда, когда размеры опухоли в молочной железе превышают 2 см и/или опухоль распространилась на ближайшие лимфатические узлы, например, подмышечные. Для установления точной стадии врачу нужно знать размер опухоли, ее распространенность, степень поражения лимфатических узлов8.
Биологические характеристики опухоли:
Различные типы РМЖ по-разному реагируют на предоперационную терапию. Хороших результатов удается добиться при HER2-положительном или тройном негативном раке, именно при этих подтипах неоадъювантная терапия показана начиная со второй стадии. Выбор лекарственного препарата зависит от строения раковых клеток. При тройном негативном типе, когда на поверхности клеток отсутствуют рецепторы к половым гормонам и к эпидермальному фактору роста (HER2), врачи применяют химиотерапию. Если при патоморфологическом исследовании патолог обнаружит рецепторы HER2 на клетках, то к химиотерапии будут добавлены таргетные препараты. При люминальном РМЖ, когда в клетках есть рецепторы к половым гормонам, химиопрепараты применяют только при наличии определенных характеристик опухоли, указывающих на высокий риск рецидива.
Общее состояние здоровья:
Врачи учитывают самочувствие пациента, возраст, наличие сопутствующих заболеваний.
Желание пациента:
Врачу важно наладить контакт с пациентом, объяснить преимущества и риски различных методов. Не стесняйтесь говорить с ним о своих страхах и ожиданиях, это поможет принять решение совместно.
Сколько длится неоадъювантная терапия?
Курс обычно длится от нескольких месяцев до полугода, в зависимости от применяемых лекарственных препаратов и того, как пациент переносит их введение. При развитии нежелательных эффектов терапия может быть прекращена досрочно. Препараты вводятся с разной периодичностью от одного раза в неделю до одного раза в три недели. После завершения неоадъювантной терапии онколог оценивает, насколько та была эффективна. Операция проводится не позднее чем через семь недель после введения последней дозы8.
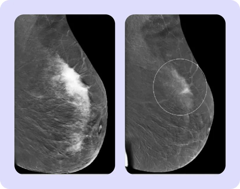
Как оценивают эффективность неоадъювантной терапии?
Об эффективности терапии говорит уменьшение размера опухоли. Для этого перед началом лечения врачи измеряют размеры новообразования, метастазов в лимфатических узлах с помощью маммографии или ультразвукового исследования (УЗИ). В некоторых случаях может использоваться магнитно-резонансная томография (МРТ). После завершения предоперационной терапии, исследования проводятся повторно, чтобы понять, как изменились размеры и распространенность опухоли9.
Как это выглядит?
На первом изображении представлен пример полного ответа. Очаг уменьшился настолько, что перестал быть заметен на МРТ. Во втором случае наблюдается частичный ответ: очаг значительно уменьшился, но не исчез совсем10,11. МРТ лишь дополнительный метод исследования, ее проводят далеко не всем пациентам на неоадьювантной терапии, но в целях демонстрации эффекта мы выбрали именно этот метод.
Что предстоит после завершения неоадъювантной терапии?
Даже если при применении лекарственных методов был достигнут полный ответ и поражение больше не обнаруживается, борьба с раком на этом не заканчивается.
Хирургическое лечение
Следующим этапом обычно выполняется хирургическая операция. Хирург удаляет область молочной железы, где располагалось новообразование. Это помогает убрать оставшиеся раковые клетки, которые в противном случае могут снова сформировать опухоль.
Лучевая терапия
Уничтожить оставшиеся раковые клетки помогают лучевые методы. Они применяются у всех пациентов после органосохраняющих операций, а также и после мастэктомии, в том случае если, например, опухоль уже распространилась на лимфатические узлы.
Лекарственная адъювантная терапия
Проводится после операции. При этом по показаниям может использоваться как химиотерапия,так и другие виды системного лечения. Пациентам с HER2-позитивным раком молочной железы онкологи в большинстве случаев назначают таргетные препараты после хирургического лечения. При гормонозависимом РМЖ после операции показаны гормональные препараты, терапия которыми в зависимости от ситуации может продолжаться от пяти до десяти лет.
Сколько стоит неоадъювантная терапия
Предоперационная терапия РМЖ включена в программу государственных гарантий бесплатной медицинской помощи. Это означает, что лечение в государственных клиниках предоставляется пациентам бесплатно12. Также это можно сделать в частных клиниках, работающих по системе обязательного медицинского страхования (ОМС).
Неоадъювантная терапия становится все более распространенным методом комплексного лечения РМЖ5. Раньше ее назначали при больших опухолях, но сейчас могут порекомендовать и при новообразованиях среднего размера. Лекарственные препараты помогают уменьшить размер и распространенность новообразования и выполнить органосохраняющую операцию. Такое вмешательство легче переносится пациентами и при этом столь же эффективно, как и мастэктомия1,2. Важнейшим преимуществом предоперационной терапии является также то, что она показывает, какие лекарственные препараты эффективны для данного типа рака. На основе этих результатов врачи могут своевременно скорректировать лечение.
M-RU-00014930 Декабрь 2023
Было полезно?
Мы заботимся о том, чтобы наши материалы содержали актуальную информацию, а также оказывали читателям всю необходимую помощь и поддержку. Сообщите, пожалуйста, была ли эта статья полезна для вас.
Да, было полезно
Нет
Поделиться
Список литературы
Kaufman C.S. Increasing role of oncoplastic surgery for breast cancer. Curr Oncol Rep, 2019.
Patel K. et al. An oncoplastic surgery primer: common indications, techniques, and complications in level 1 and 2 volume displacement oncoplastic surgery. Ann Surg Oncol, 2019.
Загрекова Е.И., Мещеряков А.А. Лекарственное лечение рака молочной железы. РМЖ «Онкология». 2002;14:605.
Steenbruggen T.G. et al. Neoadjuvant therapy for breast cancer: established concepts and emerging strategies. Drugs, 2017.
Pathological complete response in neoadjuvant treatment of high-risk early-stage breast cancer: use as an endpoint to support accelerated approval guidance for industry. U.S. Department of Health and Human Services, Food and Drug Administration, Oncology Center of Excellence, Center for Drug Evaluation and Research (CDER), Center for Biologics Evaluation and Research (CBER), 2020. (Электронный ресурс). URL: https://www.fda.gov/media/83507/download (дата обращения: 27.11.2023).
Martín M.L. et al. Manual lymphatic drainage therapy in patients with breast cancer related lymphoedema. BMC Cancer, 2011.
Tait R.C. et al. Pain: Risk factors and current approaches to treatment. J Pain, 2018.
Рак молочной железы. Клинические рекомендации Министерства здравоохранения РФ, 2021.
Wang, Huan, and Xiaoyun Mao. Evaluation of the efficacy of neoadjuvant chemotherapy for breast cancer. Drug design, development and therapy, 2020.
Li, Yan-Ling, et al. MRI in diagnosis of pathological complete response in breast cancer patients after neoadjuvant chemotherapy. European Journal of Radiology 2015;84(2):242—249.
Iotti, Valentina, et al. Contrast-enhanced spectral mammography in neoadjuvant chemotherapy monitoring: a comparison with breast magnetic resonance imaging. Breast Cancer Research, 2017.
Постановление Правительства России от 29 декабря 2022 г. № 2497 «О Программе государственных гарантий бесплатного оказания гражданам медицинской помощи на 2023 год и на плановый период 2024 и 2025 годов».
Довольно долго единственным способом хирургического лечения рака молочной железы (РМЖ) на ранних стадиях была мастэктомия — полное удаление органа1. Хирурги-онкологи старались удалить новообразование «с запасом» здоровых тканей, в которых теоретически могли оставаться отдельные раковые клетки. Ситуация изменилась с появлением противоопухолевых лекарственных препаратов1. Новые методы позволили хирургам уменьшить объем вмешательства, сохраняя здоровую молочную железу. Такие операции лучше переносятся и сохраняют естественный вид груди2.
Кроме хирургических, для лечения РМЖ сейчас используют и другие методы:
Больше о химиотерапии, больше о таргетной терапии.
Любой из этих методов может быть назначен до или после операции.
Неоадъювантным называется лечение, которое врачи назначают до операции3. Для этого могут применяться химиотерапевтические, гормональные или таргетные препараты4. Хирургическое вмешательство проводится через несколько недель после последнего введения.
Зачем нужна неоадъювантная терапия?
Чтобы уменьшить размер новообразования
Это позволяет хирургу удалить меньший объем тканей, сохранив молочную железу5. Органосохраняющие операции легче переносятся, а восстановление после них происходит быстрее. Напротив, мастэктомия может вызывать стойкие отеки6, нарушение подвижности в плечевом суставе, длительные нейропатические боли7.
Чтобы уменьшить распространенность опухоли
Препараты уничтожают раковые клетки, попавшие в лимфатические узлы. Таким образом уменьшается количество лимфатических узлов, подлежащих удалению.
Чтобы получить время для дополнительных обследований.
Например, для генетического тестирования, результаты которого могут повлиять на подходы к терапии РМЖ.
Для оценки эффективности лекарств.
Если опухоль не будет реагировать на них, онколог назначит препараты с другим механизмом действия на послеоперационном этапе.
Преимущества и недостатки неоадъювантной терапии
Преимущества начала лечения с операции:
Понимание биологии опухоли
Строение раковых клеток, наличие рецепторов к гормонам и факторам роста на их поверхности, наследственные нарушения определяют чувствительность опухоли к лекарствам. Для исследования биологических особенностей раковых клеток врач-патолог изучает образец новообразования. Если путь пациента начинается с операции, у врачей есть достаточное количество материала для проведения подробного исследования и подбора лечения.
Точное стадирование заболевания
Хирургическое вмешательство позволяет точно оценить размер новообразования, поражение лимфатических узлов, что важно для определения стадии заболевания.
Снижение тревожности
Для некоторых пациентов удаление новообразования может давать чувство избавления от болезни, уменьшать тревогу и стресс.
Уменьшение потребности в лучевой терапии
В некоторых случаях, когда опухоль полностью удалена и не имеет негативных прогностических признаков, может быть принято решение об отказе от последующей лучевой терапии.
Преимущества старта с лекарственной терапии:
Уменьшение размера новообразования
Лекарственная терапия, проведенная до операции, помогает уменьшить объем последующего вмешательства и сохранить здоровую молочную железу.
Понимание эффективности препаратов
Такой подход позволяет оценить эффективность лекарственных препаратов, и при необходимости заменить их после хирургического вмешательства. Это очень важно при тройном негативном и HER2-положительном РМЖ. Эти виды рака являются наиболее неблагоприятными по вероятности рецидива (возвращения болезни) после первоначального лечения. Лекарственная терапия, которая проводится после операции, хоть и обладает доказанным эффектом в отношении уменьшения риска рецидива, но, по сути, проводится «вслепую». Напротив, когда лечение назначают до операции, есть возможность более точно оценить его эффективность с помощью специальных методов обследования (например, изменение размеров опухоли при контрольном рентгенологическом исследовании — маммографии или УЗИ) и наиболее точно — при проведении патоморфологического исследования удаленных во время операции тканей. В том случае если лечение недостаточно хорошо подействовало на опухоль, врачи имеют возможность поменять терапию после операции, что может позволить значимо уменьшить вероятность возвращения болезни в будущем8.
Перевод неоперабельного рака в операбельный
В тех ситуациях, когда РМЖ изначально считается неоперабельным (это абсолютное большинство случаев заболевания на III стадии), без неоадъювантной терапии обойтись нельзя. Лекарственные средства назначаются с целью уменьшить опухоль до такой степени, что ее можно удалить хирургически.
От чего зависит решение о проведении неоадъювантной терапии?
Стадия и размер опухоли:
Неоадъювантная терапия проводится при некоторых подтипах РМЖ, начиная со второй стадии, т. е. тогда, когда размеры опухоли в молочной железе превышают 2 см и/или опухоль распространилась на ближайшие лимфатические узлы, например, подмышечные. Для установления точной стадии врачу нужно знать размер опухоли, ее распространенность, степень поражения лимфатических узлов8.
Биологические характеристики опухоли:
Различные типы РМЖ по-разному реагируют на предоперационную терапию. Хороших результатов удается добиться при HER2-положительном или тройном негативном раке, именно при этих подтипах неоадъювантная терапия показана начиная со второй стадии. Выбор лекарственного препарата зависит от строения раковых клеток. При тройном негативном типе, когда на поверхности клеток отсутствуют рецепторы к половым гормонам и к эпидермальному фактору роста (HER2), врачи применяют химиотерапию. Если при патоморфологическом исследовании патолог обнаружит рецепторы HER2 на клетках, то к химиотерапии будут добавлены таргетные препараты. При люминальном РМЖ, когда в клетках есть рецепторы к половым гормонам, химиопрепараты применяют только при наличии определенных характеристик опухоли, указывающих на высокий риск рецидива.
Общее состояние здоровья:
Врачи учитывают самочувствие пациента, возраст, наличие сопутствующих заболеваний.
Желание пациента:
Врачу важно наладить контакт с пациентом, объяснить преимущества и риски различных методов. Не стесняйтесь говорить с ним о своих страхах и ожиданиях, это поможет принять решение совместно.
Сколько длится неоадъювантная терапия?
Курс обычно длится от нескольких месяцев до полугода, в зависимости от применяемых лекарственных препаратов и того, как пациент переносит их введение. При развитии нежелательных эффектов терапия может быть прекращена досрочно. Препараты вводятся с разной периодичностью от одного раза в неделю до одного раза в три недели. После завершения неоадъювантной терапии онколог оценивает, насколько та была эффективна. Операция проводится не позднее чем через семь недель после введения последней дозы8.
Как оценивают эффективность неоадъювантной терапии?
Об эффективности терапии говорит уменьшение размера опухоли. Для этого перед началом лечения врачи измеряют размеры новообразования, метастазов в лимфатических узлах с помощью маммографии или ультразвукового исследования (УЗИ). В некоторых случаях может использоваться магнитно-резонансная томография (МРТ). После завершения предоперационной терапии, исследования проводятся повторно, чтобы понять, как изменились размеры и распространенность опухоли9.
Как это выглядит?
На первом изображении представлен пример полного ответа. Очаг уменьшился настолько, что перестал быть заметен на МРТ. Во втором случае наблюдается частичный ответ: очаг значительно уменьшился, но не исчез совсем10,11. МРТ лишь дополнительный метод исследования, ее проводят далеко не всем пациентам на неоадьювантной терапии, но в целях демонстрации эффекта мы выбрали именно этот метод.
Что предстоит после завершения неоадъювантной терапии?
Даже если при применении лекарственных методов был достигнут полный ответ и поражение больше не обнаруживается, борьба с раком на этом не заканчивается.
Хирургическое лечение
Следующим этапом обычно выполняется хирургическая операция. Хирург удаляет область молочной железы, где располагалось новообразование. Это помогает убрать оставшиеся раковые клетки, которые в противном случае могут снова сформировать опухоль.
Лучевая терапия
Уничтожить оставшиеся раковые клетки помогают лучевые методы. Они применяются у всех пациентов после органосохраняющих операций, а также и после мастэктомии, в том случае если, например, опухоль уже распространилась на лимфатические узлы.
Лекарственная адъювантная терапия
Проводится после операции. При этом по показаниям может использоваться как химиотерапия,так и другие виды системного лечения. Пациентам с HER2-позитивным раком молочной железы онкологи в большинстве случаев назначают таргетные препараты после хирургического лечения. При гормонозависимом РМЖ после операции показаны гормональные препараты, терапия которыми в зависимости от ситуации может продолжаться от пяти до десяти лет.
Сколько стоит неоадъювантная терапия
Предоперационная терапия РМЖ включена в программу государственных гарантий бесплатной медицинской помощи. Это означает, что лечение в государственных клиниках предоставляется пациентам бесплатно12. Также это можно сделать в частных клиниках, работающих по системе обязательного медицинского страхования (ОМС).
Неоадъювантная терапия становится все более распространенным методом комплексного лечения РМЖ5. Раньше ее назначали при больших опухолях, но сейчас могут порекомендовать и при новообразованиях среднего размера. Лекарственные препараты помогают уменьшить размер и распространенность новообразования и выполнить органосохраняющую операцию. Такое вмешательство легче переносится пациентами и при этом столь же эффективно, как и мастэктомия1,2. Важнейшим преимуществом предоперационной терапии является также то, что она показывает, какие лекарственные препараты эффективны для данного типа рака. На основе этих результатов врачи могут своевременно скорректировать лечение.
M-RU-00014930 Декабрь 2023
Было полезно?
Мы заботимся о том, чтобы наши материалы содержали актуальную информацию, а также оказывали читателям всю необходимую помощь и поддержку. Сообщите, пожалуйста, была ли эта статья полезна для вас.
Да, было полезно
Нет
Поделиться
Список литературы
Kaufman C.S. Increasing role of oncoplastic surgery for breast cancer. Curr Oncol Rep, 2019.
Patel K. et al. An oncoplastic surgery primer: common indications, techniques, and complications in level 1 and 2 volume displacement oncoplastic surgery. Ann Surg Oncol, 2019.
Загрекова Е.И., Мещеряков А.А. Лекарственное лечение рака молочной железы. РМЖ «Онкология». 2002;14:605.
Steenbruggen T.G. et al. Neoadjuvant therapy for breast cancer: established concepts and emerging strategies. Drugs, 2017.
Pathological complete response in neoadjuvant treatment of high-risk early-stage breast cancer: use as an endpoint to support accelerated approval guidance for industry. U.S. Department of Health and Human Services, Food and Drug Administration, Oncology Center of Excellence, Center for Drug Evaluation and Research (CDER), Center for Biologics Evaluation and Research (CBER), 2020. (Электронный ресурс). URL: https://www.fda.gov/media/83507/download (дата обращения: 27.11.2023).
Martín M.L. et al. Manual lymphatic drainage therapy in patients with breast cancer related lymphoedema. BMC Cancer, 2011.
Tait R.C. et al. Pain: Risk factors and current approaches to treatment. J Pain, 2018.
Рак молочной железы. Клинические рекомендации Министерства здравоохранения РФ, 2021.
Wang, Huan, and Xiaoyun Mao. Evaluation of the efficacy of neoadjuvant chemotherapy for breast cancer. Drug design, development and therapy, 2020.
Li, Yan-Ling, et al. MRI in diagnosis of pathological complete response in breast cancer patients after neoadjuvant chemotherapy. European Journal of Radiology 2015;84(2):242—249.
Iotti, Valentina, et al. Contrast-enhanced spectral mammography in neoadjuvant chemotherapy monitoring: a comparison with breast magnetic resonance imaging. Breast Cancer Research, 2017.
Постановление Правительства России от 29 декабря 2022 г. № 2497 «О Программе государственных гарантий бесплатного оказания гражданам медицинской помощи на 2023 год и на плановый период 2024 и 2025 годов».
Чтобы уменьшить размер новообразования
Это позволяет хирургу удалить меньший объем тканей, сохранив молочную железу5. Органосохраняющие операции легче переносятся, а восстановление после них происходит быстрее. Напротив, мастэктомия может вызывать стойкие отеки6, нарушение подвижности в плечевом суставе, длительные нейропатические боли7.
Чтобы уменьшить распространенность опухоли
Препараты уничтожают раковые клетки, попавшие в лимфатические узлы. Таким образом уменьшается количество лимфатических узлов, подлежащих удалению.
Чтобы получить время для дополнительных обследований.
Например, для генетического тестирования, результаты которого могут повлиять на подходы к терапии РМЖ.
Для оценки эффективности лекарств.
Если опухоль не будет реагировать на них, онколог назначит препараты с другим механизмом действия на послеоперационном этапе.

Преимущества начала лечения с операции:
Понимание биологии опухоли
Строение раковых клеток, наличие рецепторов к гормонам и факторам роста на их поверхности, наследственные нарушения определяют чувствительность опухоли к лекарствам. Для исследования биологических особенностей раковых клеток врач-патолог изучает образец новообразования. Если путь пациента начинается с операции, у врачей есть достаточное количество материала для проведения подробного исследования и подбора лечения.
Точное стадирование заболевания
Хирургическое вмешательство позволяет точно оценить размер новообразования, поражение лимфатических узлов, что важно для определения стадии заболевания.
Снижение тревожности
Для некоторых пациентов удаление новообразования может давать чувство избавления от болезни, уменьшать тревогу и стресс.
Уменьшение потребности в лучевой терапии
В некоторых случаях, когда опухоль полностью удалена и не имеет негативных прогностических признаков, может быть принято решение об отказе от последующей лучевой терапии.

Преимущества старта с лекарственной терапии:
Уменьшение размера новообразования
Лекарственная терапия, проведенная до операции, помогает уменьшить объем последующего вмешательства и сохранить здоровую молочную железу.
Понимание эффективности препаратов
Такой подход позволяет оценить эффективность лекарственных препаратов, и при необходимости заменить их после хирургического вмешательства. Это очень важно при тройном негативном и HER2-положительном РМЖ. Эти виды рака являются наиболее неблагоприятными по вероятности рецидива (возвращения болезни) после первоначального лечения. Лекарственная терапия, которая проводится после операции, хоть и обладает доказанным эффектом в отношении уменьшения риска рецидива, но, по сути, проводится «вслепую». Напротив, когда лечение назначают до операции, есть возможность более точно оценить его эффективность с помощью специальных методов обследования (например, изменение размеров опухоли при контрольном рентгенологическом исследовании — маммографии или УЗИ) и наиболее точно — при проведении патоморфологического исследования удаленных во время операции тканей. В том случае если лечение недостаточно хорошо подействовало на опухоль, врачи имеют возможность поменять терапию после операции, что может позволить значимо уменьшить вероятность возвращения болезни в будущем8.
Перевод неоперабельного рака в операбельный
В тех ситуациях, когда РМЖ изначально считается неоперабельным (это абсолютное большинство случаев заболевания на III стадии), без неоадъювантной терапии обойтись нельзя. Лекарственные средства назначаются с целью уменьшить опухоль до такой степени, что ее можно удалить хирургически.
От чего зависит решение о проведении неоадъювантной терапии?
Стадия и размер опухоли:
Неоадъювантная терапия проводится при некоторых подтипах РМЖ, начиная со второй стадии, т. е. тогда, когда размеры опухоли в молочной железе превышают 2 см и/или опухоль распространилась на ближайшие лимфатические узлы, например, подмышечные. Для установления точной стадии врачу нужно знать размер опухоли, ее распространенность, степень поражения лимфатических узлов8.
Биологические характеристики опухоли:
Различные типы РМЖ по-разному реагируют на предоперационную терапию. Хороших результатов удается добиться при HER2-положительном или тройном негативном раке, именно при этих подтипах неоадъювантная терапия показана начиная со второй стадии. Выбор лекарственного препарата зависит от строения раковых клеток. При тройном негативном типе, когда на поверхности клеток отсутствуют рецепторы к половым гормонам и к эпидермальному фактору роста (HER2), врачи применяют химиотерапию. Если при патоморфологическом исследовании патолог обнаружит рецепторы HER2 на клетках, то к химиотерапии будут добавлены таргетные препараты. При люминальном РМЖ, когда в клетках есть рецепторы к половым гормонам, химиопрепараты применяют только при наличии определенных характеристик опухоли, указывающих на высокий риск рецидива.
Общее состояние здоровья:
Врачи учитывают самочувствие пациента, возраст, наличие сопутствующих заболеваний.
Желание пациента:
Врачу важно наладить контакт с пациентом, объяснить преимущества и риски различных методов. Не стесняйтесь говорить с ним о своих страхах и ожиданиях, это поможет принять решение совместно.
Сколько длится неоадъювантная терапия?
Курс обычно длится от нескольких месяцев до полугода, в зависимости от применяемых лекарственных препаратов и того, как пациент переносит их введение. При развитии нежелательных эффектов терапия может быть прекращена досрочно. Препараты вводятся с разной периодичностью от одного раза в неделю до одного раза в три недели. После завершения неоадъювантной терапии онколог оценивает, насколько та была эффективна. Операция проводится не позднее чем через семь недель после введения последней дозы8.
Как оценивают эффективность неоадъювантной терапии?
Об эффективности терапии говорит уменьшение размера опухоли. Для этого перед началом лечения врачи измеряют размеры новообразования, метастазов в лимфатических узлах с помощью маммографии или ультразвукового исследования (УЗИ). В некоторых случаях может использоваться магнитно-резонансная томография (МРТ). После завершения предоперационной терапии, исследования проводятся повторно, чтобы понять, как изменились размеры и распространенность опухоли9.
Как это выглядит?
На первом изображении представлен пример полного ответа. Очаг уменьшился настолько, что перестал быть заметен на МРТ. Во втором случае наблюдается частичный ответ: очаг значительно уменьшился, но не исчез совсем10,11. МРТ лишь дополнительный метод исследования, ее проводят далеко не всем пациентам на неоадьювантной терапии, но в целях демонстрации эффекта мы выбрали именно этот метод.
Что предстоит после завершения неоадъювантной терапии?
Даже если при применении лекарственных методов был достигнут полный ответ и поражение больше не обнаруживается, борьба с раком на этом не заканчивается.
Хирургическое лечение
Следующим этапом обычно выполняется хирургическая операция. Хирург удаляет область молочной железы, где располагалось новообразование. Это помогает убрать оставшиеся раковые клетки, которые в противном случае могут снова сформировать опухоль.
Лучевая терапия
Уничтожить оставшиеся раковые клетки помогают лучевые методы. Они применяются у всех пациентов после органосохраняющих операций, а также и после мастэктомии, в том случае если, например, опухоль уже распространилась на лимфатические узлы.
Лекарственная адъювантная терапия
Проводится после операции. При этом по показаниям может использоваться как химиотерапия,так и другие виды системного лечения. Пациентам с HER2-позитивным раком молочной железы онкологи в большинстве случаев назначают таргетные препараты после хирургического лечения. При гормонозависимом РМЖ после операции показаны гормональные препараты, терапия которыми в зависимости от ситуации может продолжаться от пяти до десяти лет.
Сколько стоит неоадъювантная терапия
Предоперационная терапия РМЖ включена в программу государственных гарантий бесплатной медицинской помощи. Это означает, что лечение в государственных клиниках предоставляется пациентам бесплатно12. Также это можно сделать в частных клиниках, работающих по системе обязательного медицинского страхования (ОМС).
Неоадъювантная терапия становится все более распространенным методом комплексного лечения РМЖ5. Раньше ее назначали при больших опухолях, но сейчас могут порекомендовать и при новообразованиях среднего размера. Лекарственные препараты помогают уменьшить размер и распространенность новообразования и выполнить органосохраняющую операцию. Такое вмешательство легче переносится пациентами и при этом столь же эффективно, как и мастэктомия1,2. Важнейшим преимуществом предоперационной терапии является также то, что она показывает, какие лекарственные препараты эффективны для данного типа рака. На основе этих результатов врачи могут своевременно скорректировать лечение.
M-RU-00014930 Декабрь 2023
Было полезно?
Мы заботимся о том, чтобы наши материалы содержали актуальную информацию, а также оказывали читателям всю необходимую помощь и поддержку. Сообщите, пожалуйста, была ли эта статья полезна для вас.
Да, было полезно
Нет
Поделиться
Список литературы
Kaufman C.S. Increasing role of oncoplastic surgery for breast cancer. Curr Oncol Rep, 2019.
Patel K. et al. An oncoplastic surgery primer: common indications, techniques, and complications in level 1 and 2 volume displacement oncoplastic surgery. Ann Surg Oncol, 2019.
Загрекова Е.И., Мещеряков А.А. Лекарственное лечение рака молочной железы. РМЖ «Онкология». 2002;14:605.
Steenbruggen T.G. et al. Neoadjuvant therapy for breast cancer: established concepts and emerging strategies. Drugs, 2017.
Pathological complete response in neoadjuvant treatment of high-risk early-stage breast cancer: use as an endpoint to support accelerated approval guidance for industry. U.S. Department of Health and Human Services, Food and Drug Administration, Oncology Center of Excellence, Center for Drug Evaluation and Research (CDER), Center for Biologics Evaluation and Research (CBER), 2020. (Электронный ресурс). URL: https://www.fda.gov/media/83507/download (дата обращения: 27.11.2023).
Martín M.L. et al. Manual lymphatic drainage therapy in patients with breast cancer related lymphoedema. BMC Cancer, 2011.
Tait R.C. et al. Pain: Risk factors and current approaches to treatment. J Pain, 2018.
Рак молочной железы. Клинические рекомендации Министерства здравоохранения РФ, 2021.
Wang, Huan, and Xiaoyun Mao. Evaluation of the efficacy of neoadjuvant chemotherapy for breast cancer. Drug design, development and therapy, 2020.
Li, Yan-Ling, et al. MRI in diagnosis of pathological complete response in breast cancer patients after neoadjuvant chemotherapy. European Journal of Radiology 2015;84(2):242—249.
Iotti, Valentina, et al. Contrast-enhanced spectral mammography in neoadjuvant chemotherapy monitoring: a comparison with breast magnetic resonance imaging. Breast Cancer Research, 2017.
Постановление Правительства России от 29 декабря 2022 г. № 2497 «О Программе государственных гарантий бесплатного оказания гражданам медицинской помощи на 2023 год и на плановый период 2024 и 2025 годов».
Стадия и размер опухоли:
Неоадъювантная терапия проводится при некоторых подтипах РМЖ, начиная со второй стадии, т. е. тогда, когда размеры опухоли в молочной железе превышают 2 см и/или опухоль распространилась на ближайшие лимфатические узлы, например, подмышечные. Для установления точной стадии врачу нужно знать размер опухоли, ее распространенность, степень поражения лимфатических узлов8.
Биологические характеристики опухоли:
Различные типы РМЖ по-разному реагируют на предоперационную терапию. Хороших результатов удается добиться при HER2-положительном или тройном негативном раке, именно при этих подтипах неоадъювантная терапия показана начиная со второй стадии. Выбор лекарственного препарата зависит от строения раковых клеток. При тройном негативном типе, когда на поверхности клеток отсутствуют рецепторы к половым гормонам и к эпидермальному фактору роста (HER2), врачи применяют химиотерапию. Если при патоморфологическом исследовании патолог обнаружит рецепторы HER2 на клетках, то к химиотерапии будут добавлены таргетные препараты. При люминальном РМЖ, когда в клетках есть рецепторы к половым гормонам, химиопрепараты применяют только при наличии определенных характеристик опухоли, указывающих на высокий риск рецидива.
Общее состояние здоровья:
Врачи учитывают самочувствие пациента, возраст, наличие сопутствующих заболеваний.
Желание пациента:
Врачу важно наладить контакт с пациентом, объяснить преимущества и риски различных методов. Не стесняйтесь говорить с ним о своих страхах и ожиданиях, это поможет принять решение совместно.
Курс обычно длится от нескольких месяцев до полугода, в зависимости от применяемых лекарственных препаратов и того, как пациент переносит их введение. При развитии нежелательных эффектов терапия может быть прекращена досрочно. Препараты вводятся с разной периодичностью от одного раза в неделю до одного раза в три недели. После завершения неоадъювантной терапии онколог оценивает, насколько та была эффективна. Операция проводится не позднее чем через семь недель после введения последней дозы8.
Как оценивают эффективность неоадъювантной терапии?
Об эффективности терапии говорит уменьшение размера опухоли. Для этого перед началом лечения врачи измеряют размеры новообразования, метастазов в лимфатических узлах с помощью маммографии или ультразвукового исследования (УЗИ). В некоторых случаях может использоваться магнитно-резонансная томография (МРТ). После завершения предоперационной терапии, исследования проводятся повторно, чтобы понять, как изменились размеры и распространенность опухоли9.
Как это выглядит?
На первом изображении представлен пример полного ответа. Очаг уменьшился настолько, что перестал быть заметен на МРТ. Во втором случае наблюдается частичный ответ: очаг значительно уменьшился, но не исчез совсем10,11. МРТ лишь дополнительный метод исследования, ее проводят далеко не всем пациентам на неоадьювантной терапии, но в целях демонстрации эффекта мы выбрали именно этот метод.
Что предстоит после завершения неоадъювантной терапии?
Даже если при применении лекарственных методов был достигнут полный ответ и поражение больше не обнаруживается, борьба с раком на этом не заканчивается.
Хирургическое лечение
Следующим этапом обычно выполняется хирургическая операция. Хирург удаляет область молочной железы, где располагалось новообразование. Это помогает убрать оставшиеся раковые клетки, которые в противном случае могут снова сформировать опухоль.
Лучевая терапия
Уничтожить оставшиеся раковые клетки помогают лучевые методы. Они применяются у всех пациентов после органосохраняющих операций, а также и после мастэктомии, в том случае если, например, опухоль уже распространилась на лимфатические узлы.
Лекарственная адъювантная терапия
Проводится после операции. При этом по показаниям может использоваться как химиотерапия,так и другие виды системного лечения. Пациентам с HER2-позитивным раком молочной железы онкологи в большинстве случаев назначают таргетные препараты после хирургического лечения. При гормонозависимом РМЖ после операции показаны гормональные препараты, терапия которыми в зависимости от ситуации может продолжаться от пяти до десяти лет.
Сколько стоит неоадъювантная терапия
Предоперационная терапия РМЖ включена в программу государственных гарантий бесплатной медицинской помощи. Это означает, что лечение в государственных клиниках предоставляется пациентам бесплатно12. Также это можно сделать в частных клиниках, работающих по системе обязательного медицинского страхования (ОМС).
Неоадъювантная терапия становится все более распространенным методом комплексного лечения РМЖ5. Раньше ее назначали при больших опухолях, но сейчас могут порекомендовать и при новообразованиях среднего размера. Лекарственные препараты помогают уменьшить размер и распространенность новообразования и выполнить органосохраняющую операцию. Такое вмешательство легче переносится пациентами и при этом столь же эффективно, как и мастэктомия1,2. Важнейшим преимуществом предоперационной терапии является также то, что она показывает, какие лекарственные препараты эффективны для данного типа рака. На основе этих результатов врачи могут своевременно скорректировать лечение.
M-RU-00014930 Декабрь 2023
Было полезно?
Мы заботимся о том, чтобы наши материалы содержали актуальную информацию, а также оказывали читателям всю необходимую помощь и поддержку. Сообщите, пожалуйста, была ли эта статья полезна для вас.
Да, было полезно
Нет
Поделиться
Список литературы
Kaufman C.S. Increasing role of oncoplastic surgery for breast cancer. Curr Oncol Rep, 2019.
Patel K. et al. An oncoplastic surgery primer: common indications, techniques, and complications in level 1 and 2 volume displacement oncoplastic surgery. Ann Surg Oncol, 2019.
Загрекова Е.И., Мещеряков А.А. Лекарственное лечение рака молочной железы. РМЖ «Онкология». 2002;14:605.
Steenbruggen T.G. et al. Neoadjuvant therapy for breast cancer: established concepts and emerging strategies. Drugs, 2017.
Pathological complete response in neoadjuvant treatment of high-risk early-stage breast cancer: use as an endpoint to support accelerated approval guidance for industry. U.S. Department of Health and Human Services, Food and Drug Administration, Oncology Center of Excellence, Center for Drug Evaluation and Research (CDER), Center for Biologics Evaluation and Research (CBER), 2020. (Электронный ресурс). URL: https://www.fda.gov/media/83507/download (дата обращения: 27.11.2023).
Martín M.L. et al. Manual lymphatic drainage therapy in patients with breast cancer related lymphoedema. BMC Cancer, 2011.
Tait R.C. et al. Pain: Risk factors and current approaches to treatment. J Pain, 2018.
Рак молочной железы. Клинические рекомендации Министерства здравоохранения РФ, 2021.
Wang, Huan, and Xiaoyun Mao. Evaluation of the efficacy of neoadjuvant chemotherapy for breast cancer. Drug design, development and therapy, 2020.
Li, Yan-Ling, et al. MRI in diagnosis of pathological complete response in breast cancer patients after neoadjuvant chemotherapy. European Journal of Radiology 2015;84(2):242—249.
Iotti, Valentina, et al. Contrast-enhanced spectral mammography in neoadjuvant chemotherapy monitoring: a comparison with breast magnetic resonance imaging. Breast Cancer Research, 2017.
Постановление Правительства России от 29 декабря 2022 г. № 2497 «О Программе государственных гарантий бесплатного оказания гражданам медицинской помощи на 2023 год и на плановый период 2024 и 2025 годов».
Об эффективности терапии говорит уменьшение размера опухоли. Для этого перед началом лечения врачи измеряют размеры новообразования, метастазов в лимфатических узлах с помощью маммографии или ультразвукового исследования (УЗИ). В некоторых случаях может использоваться магнитно-резонансная томография (МРТ). После завершения предоперационной терапии, исследования проводятся повторно, чтобы понять, как изменились размеры и распространенность опухоли9.
Как это выглядит?
На первом изображении представлен пример полного ответа. Очаг уменьшился настолько, что перестал быть заметен на МРТ. Во втором случае наблюдается частичный ответ: очаг значительно уменьшился, но не исчез совсем10,11. МРТ лишь дополнительный метод исследования, ее проводят далеко не всем пациентам на неоадьювантной терапии, но в целях демонстрации эффекта мы выбрали именно этот метод.
Даже если при применении лекарственных методов был достигнут полный ответ и поражение больше не обнаруживается, борьба с раком на этом не заканчивается.
Хирургическое лечение
Следующим этапом обычно выполняется хирургическая операция. Хирург удаляет область молочной железы, где располагалось новообразование. Это помогает убрать оставшиеся раковые клетки, которые в противном случае могут снова сформировать опухоль.
Лучевая терапия
Уничтожить оставшиеся раковые клетки помогают лучевые методы. Они применяются у всех пациентов после органосохраняющих операций, а также и после мастэктомии, в том случае если, например, опухоль уже распространилась на лимфатические узлы.
Лекарственная адъювантная терапия
Проводится после операции. При этом по показаниям может использоваться как химиотерапия,так и другие виды системного лечения. Пациентам с HER2-позитивным раком молочной железы онкологи в большинстве случаев назначают таргетные препараты после хирургического лечения. При гормонозависимом РМЖ после операции показаны гормональные препараты, терапия которыми в зависимости от ситуации может продолжаться от пяти до десяти лет.
Сколько стоит неоадъювантная терапия
Предоперационная терапия РМЖ включена в программу государственных гарантий бесплатной медицинской помощи. Это означает, что лечение в государственных клиниках предоставляется пациентам бесплатно12. Также это можно сделать в частных клиниках, работающих по системе обязательного медицинского страхования (ОМС).
Неоадъювантная терапия становится все более распространенным методом комплексного лечения РМЖ5. Раньше ее назначали при больших опухолях, но сейчас могут порекомендовать и при новообразованиях среднего размера. Лекарственные препараты помогают уменьшить размер и распространенность новообразования и выполнить органосохраняющую операцию. Такое вмешательство легче переносится пациентами и при этом столь же эффективно, как и мастэктомия1,2. Важнейшим преимуществом предоперационной терапии является также то, что она показывает, какие лекарственные препараты эффективны для данного типа рака. На основе этих результатов врачи могут своевременно скорректировать лечение.
M-RU-00014930 Декабрь 2023
Было полезно?
Мы заботимся о том, чтобы наши материалы содержали актуальную информацию, а также оказывали читателям всю необходимую помощь и поддержку. Сообщите, пожалуйста, была ли эта статья полезна для вас.
Да, было полезно
Нет
Поделиться
Список литературы
Kaufman C.S. Increasing role of oncoplastic surgery for breast cancer. Curr Oncol Rep, 2019.
Patel K. et al. An oncoplastic surgery primer: common indications, techniques, and complications in level 1 and 2 volume displacement oncoplastic surgery. Ann Surg Oncol, 2019.
Загрекова Е.И., Мещеряков А.А. Лекарственное лечение рака молочной железы. РМЖ «Онкология». 2002;14:605.
Steenbruggen T.G. et al. Neoadjuvant therapy for breast cancer: established concepts and emerging strategies. Drugs, 2017.
Pathological complete response in neoadjuvant treatment of high-risk early-stage breast cancer: use as an endpoint to support accelerated approval guidance for industry. U.S. Department of Health and Human Services, Food and Drug Administration, Oncology Center of Excellence, Center for Drug Evaluation and Research (CDER), Center for Biologics Evaluation and Research (CBER), 2020. (Электронный ресурс). URL: https://www.fda.gov/media/83507/download (дата обращения: 27.11.2023).
Martín M.L. et al. Manual lymphatic drainage therapy in patients with breast cancer related lymphoedema. BMC Cancer, 2011.
Tait R.C. et al. Pain: Risk factors and current approaches to treatment. J Pain, 2018.
Рак молочной железы. Клинические рекомендации Министерства здравоохранения РФ, 2021.
Wang, Huan, and Xiaoyun Mao. Evaluation of the efficacy of neoadjuvant chemotherapy for breast cancer. Drug design, development and therapy, 2020.
Li, Yan-Ling, et al. MRI in diagnosis of pathological complete response in breast cancer patients after neoadjuvant chemotherapy. European Journal of Radiology 2015;84(2):242—249.
Iotti, Valentina, et al. Contrast-enhanced spectral mammography in neoadjuvant chemotherapy monitoring: a comparison with breast magnetic resonance imaging. Breast Cancer Research, 2017.
Постановление Правительства России от 29 декабря 2022 г. № 2497 «О Программе государственных гарантий бесплатного оказания гражданам медицинской помощи на 2023 год и на плановый период 2024 и 2025 годов».
Предоперационная терапия РМЖ включена в программу государственных гарантий бесплатной медицинской помощи. Это означает, что лечение в государственных клиниках предоставляется пациентам бесплатно12. Также это можно сделать в частных клиниках, работающих по системе обязательного медицинского страхования (ОМС).
Неоадъювантная терапия становится все более распространенным методом комплексного лечения РМЖ5. Раньше ее назначали при больших опухолях, но сейчас могут порекомендовать и при новообразованиях среднего размера. Лекарственные препараты помогают уменьшить размер и распространенность новообразования и выполнить органосохраняющую операцию. Такое вмешательство легче переносится пациентами и при этом столь же эффективно, как и мастэктомия1,2. Важнейшим преимуществом предоперационной терапии является также то, что она показывает, какие лекарственные препараты эффективны для данного типа рака. На основе этих результатов врачи могут своевременно скорректировать лечение.
M-RU-00014930 Декабрь 2023
Было полезно?
Мы заботимся о том, чтобы наши материалы содержали актуальную информацию, а также оказывали читателям всю необходимую помощь и поддержку. Сообщите, пожалуйста, была ли эта статья полезна для вас.
Список литературы
Kaufman C.S. Increasing role of oncoplastic surgery for breast cancer. Curr Oncol Rep, 2019.
Patel K. et al. An oncoplastic surgery primer: common indications, techniques, and complications in level 1 and 2 volume displacement oncoplastic surgery. Ann Surg Oncol, 2019.
Загрекова Е.И., Мещеряков А.А. Лекарственное лечение рака молочной железы. РМЖ «Онкология». 2002;14:605.
Steenbruggen T.G. et al. Neoadjuvant therapy for breast cancer: established concepts and emerging strategies. Drugs, 2017.
Pathological complete response in neoadjuvant treatment of high-risk early-stage breast cancer: use as an endpoint to support accelerated approval guidance for industry. U.S. Department of Health and Human Services, Food and Drug Administration, Oncology Center of Excellence, Center for Drug Evaluation and Research (CDER), Center for Biologics Evaluation and Research (CBER), 2020. (Электронный ресурс). URL: https://www.fda.gov/media/83507/download (дата обращения: 27.11.2023).
Martín M.L. et al. Manual lymphatic drainage therapy in patients with breast cancer related lymphoedema. BMC Cancer, 2011.
Tait R.C. et al. Pain: Risk factors and current approaches to treatment. J Pain, 2018.
Рак молочной железы. Клинические рекомендации Министерства здравоохранения РФ, 2021.
Wang, Huan, and Xiaoyun Mao. Evaluation of the efficacy of neoadjuvant chemotherapy for breast cancer. Drug design, development and therapy, 2020.
Li, Yan-Ling, et al. MRI in diagnosis of pathological complete response in breast cancer patients after neoadjuvant chemotherapy. European Journal of Radiology 2015;84(2):242—249.
Iotti, Valentina, et al. Contrast-enhanced spectral mammography in neoadjuvant chemotherapy monitoring: a comparison with breast magnetic resonance imaging. Breast Cancer Research, 2017.
Постановление Правительства России от 29 декабря 2022 г. № 2497 «О Программе государственных гарантий бесплатного оказания гражданам медицинской помощи на 2023 год и на плановый период 2024 и 2025 годов».

















































































